Periodontal disease chapter
Help Main menu

<<Prev

Stage 4: Severe Attachment Loss

Next>>
Grossly severe disease
 
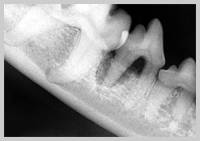
Radiograph showing more than 50% attachment loss of mesial root
     
 

Attachment loss is now greater than 50%. If disease is generalised, horizontal bone loss is most likely, whereas localised lesions, such as the palatal aspect of the maxillary canines, may present infrabony pockets with vertical bone loss.

 
 

Severe/total attachment loss of mesial root 408

<<Prev

© 2002 eMedia Unit RVC v1.0

Next>>
 

 

 
Printable chapter
(PDF format)