Periodontal disease chapter
Help Main menu

<<Prev

Stage 1: Gingivitis

Next>>
Marginal gingivitis
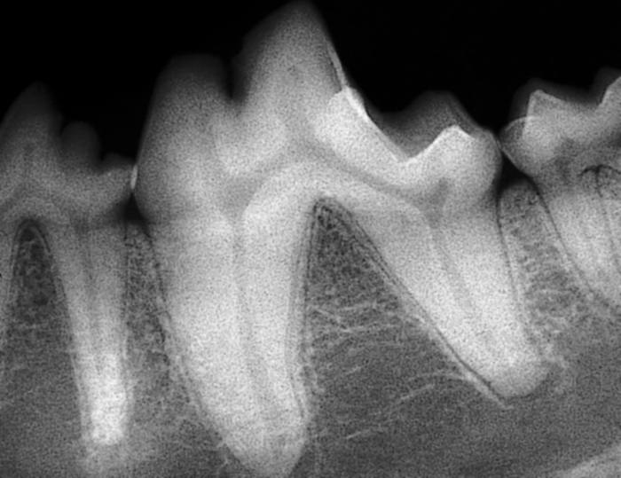
  Radiograph of normal periodontium
     
 

Gingivitis only, due to plaque deposition and lack of home care. Reversible by diligent homecare or professional scaling and polishing. There is no attachment loss at this stage. Without treatment and with an increase in quantity or virulence of bacteria, this will lead to stage 2.

 
<<Prev

© 2002 eMedia Unit RVC v1.0

Next>>
 

 

 
Printable chapter
(PDF format)