|
This screen outlines some common indications for oral radiographs.
Trauma and Exodontia
|
-
Radiography is invaluable for diagnosing and planning the treatment
of fractured teeth or bones and the surrounding tissues
-
Radiographs can be used to distinguish between complicated
crown fractures (with the pulp exposed) and uncomplicated crown
fractures (pulp not exposed)
-
For true representation of root fractures, radiographs should
be taken with the primary beam parallel to the angle of fracture.
This will allow visualisation of the beginning and end of the
fracture line
-
Pre extraction radiographs ensure that a procedure can be properly
planned and that no developmental abnormalities, resorptive
lesions or ankylosis will surprise the operator
-
Post extraction radiographs ensure that all root fragments
are removed and that no collateral damage has been caused.

|

"Favourable" fracture
of mid body of mandible with fracture running from caudo-dorsal
to rostro-ventral
|
|
 |
|

Lateral view of dog with fractured
mandible caudal to symphysis including root tip of canine
tooth
|
|

DV view of cat with fractures to
right mandible
|
|

Intra-oral VD view of rostral mandible.
Crowns of premolars had been snapped off using sloppy technique
when extracting
|
|
Periodontal Disease
|
|

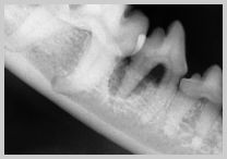
Radiograph of 408 with advanced
attachment loss of caudal root. This four walled pocket or
"cup lesion" carries a poor prognosis

Intra-oral parallel view showing
suprabony pocket interproximally between mandibular molar
1 and premolar 4. The caudal root of PM4 also shows internal
root resorption
|

Intra-oral DV skull view showing
apical lucency affecting the 102
|

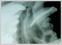
Extra-oral oblique view of mandible
showing apical lucency affecting the mesial root of molar
1. This lesion is tracking externally through the cortical
bone of ventral mandible
|
|
Loss of attachment is crucial in the treatment planning of
periodontal disease. Significant features to look for are:
-
Receding bone height relative to the cemento-enamel
junction (CEJ)
-
Loss of bone at interproximal space or at furcation
-
Widening of the periodontal space (this is highly significant)
- Loss of integrity of lamina dura. The lamina dura is
a thin white line around the root. It represents dense cortical
bone and is not a structure in its own right. A complete
lamina dura is suggestive of good periodontal health. The
lamina dura is separated from the tooth by the periodontal
ligament (PL), which is relatively radiolucent. The jawbone
is trabecular in pattern and varies in density, with age
and location. A lack of visible space in the area of the
PL may indicate ankylosis of the root
- Apical rarefaction or "halo". Apical rarefaction,
halo or lucency is strongly suggestive of endodontic and/or
periodontal pathology.
These lesions can be combined and are classified as:
- class 1 (primarily endodontic pathology leading to
periodontal pathology)
- class 2 (primarily periodontal pathology leading to
endodontic pathology)
- class 3 (combined lesion with endodontic and periodontal
lesion occurring independently).
|
|
Defects and Variations in Tooth Density
|
- Caries usually affect the molar teeth of dogs. Loss of
normal contour and density will only be visible on a radiograph
if pathology is advanced. Therefore, assess grossly and
radiographically whether the pulp canal is affected by loss
of dentine. Look for apical root pathology or other signs
of endodontic disease
|
|

Class 1 carie (filled) affecting
caudal occlusal pit of mandibular molar 1
|
| |
|
|
- Feline Odontoclastic Resorptive Lesions. Treatment planning
of these lesions must involve radiography
|
|

Feline odontoclastic resorptive
lesions (Forl's) class 4 affecting mandibular molar 1 and
premolar 3
|
| |
|
|
- Internal or external root resorption. This is often secondary
to periodontal or endodontic disease
|
|

Root resorption (external) affecting
multiple mandibular premolars in the dog
|
|
Endodontic Treatment of Teeth
|
|
Good quality radiographs from more than one angle are required
for a true representation of pulp canal length, width and lack of
long axis fracture
-
Intra operative and postoperative radiographs are required
to demonstrate the file or gutta percha point position within
the canal and adequate filling of the apical third
-
Pulpitis will not show on a radiograph but internal root resorption
will be seen as an irregular widening of the pulp chamber
-
Apical rarefaction or "halo". Apical rarefaction,
halo or lucency is strongly suggestive of endodontic and/or
periodontal pathology.
These lesions can be combined and are classified as:
- class 1 (primarily endodontic pathology leading to periodontal
pathology)
- class 2 (primarily periodontal pathology leading to endodontic
pathology)
- class 3 (combined lesion with endodontic and periodontal
lesion occurring independently
|
|

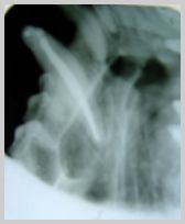
Lower canine post-operative root canal treatment |

Upper canine post-op as oblique lateral and lateral bisecting
angles |

Upper canine post-op as oblique lateral and lateral bisecting
angles
|
Developmental Defects and Anomalies

Rostral mandibles showing both temporary and permanent dentition
|
|

Retained root tip of upper canine in the cat |
|

Impacted right lower canine tooth
|
|
| |
-
Detection of missing permanent teeth
-
Detection and treatment planning of mixed dentition including
retained deciduous teeth
-
Supernumerary teeth - these can cause crowding problems and
are often associated with developmental defects of the crown
and/or the root
-
Teeth with developmental problems
- Teeth with impacted or delayed eruption.
|
Swellings, Cysts and Neoplasms
|
|
|
| |
-
Cysts present as well demarcated and expansive lytic lesions
-
Neoplasms may present as increased or decreased densities.
They are often irregular and poorly demarcated, with lysis of
bone. Close examination of the periphery of the lesion will
help, as this is often the most active zone in a pathological
process
-
Craniomandibular osteopathy (CMO) is usually a lesion of the
mandibular body, occasionally the base of the cranium or TMJ's,
and produces a proliferative periosteal reaction
|
|
|
|

Acanthomatous epulis located buccomesial to 304 |
|
Metabolic Diseases
Diseases that affect calcium metabolism, such as hyperparathyroidism,
present as reduced bone density. Teeth are often quoted as "floating"
when the condition is advanced.
|