Mobile Teeth
Mobile teeth are caused by advanced periodontal disease and
bone loss.
|
|
 |
Click on any photograph
in the site for a bigger version |
|
| |
|
|
Crowding of Teeth
Teeth should be considered for extraction when they are interfering
with occlusion or crowding others (e.g. supernumerary teeth).
|
|

Retained deciduous canine. Note food
entrapment and lingual deviation of permanent (304) canine
tooth
|
| |
|
|
Retained Deciduous Teeth
Never have two teeth of the same type in the same place at
the same time. This is the rule of dental succession.
|
|

Severe class 2 malocclusion. Note
retained 704 and 604 causing lingual deviation of 304 &
204
|
| |
|
|
Teeth in the Line of a Fracture
Consider extracting any teeth in the line of a fracture of
the mandible or maxilla.
|
|

Oblique fracture of mandibular body
rostral to molars
|
| |
|
|
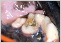
Teeth Destroyed by Disease
Teeth ruined by advanced caries, feline neck lesions etc.
should be considered for extraction.
|
|

Severe class 1 carie in occlusal pit
of 109

Advanced feline odontoclastic resorptive lesion on buccal
surfaces of 409 and 407
|
| |
|
|
Endodontically Diseased Teeth
Teeth with damaged or contaminated pulp, which the client
elects not to have treated endodontically.
|
|

Oblique fracture of buccal 104 crown
with pulp exposure
|