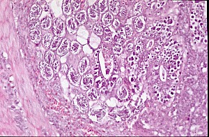
Section of caecum from an acute (~5 day) Eimeria tenella infection

This is a higher power view of a section from a chicken caecum at about 5 days after infection with a large number of oocysts. Both schizonts (small darkly-stained bodies in a clear vacuole) and merozoites (feathery-shaped bodies within a clear vacuole) can be seen to be present in large numbers in the lamina propria and epithelial cells. The massive cell destruction arising from the emergence of the merozoites resulting in haemorrhage and, in extreme cases, death.
See also

Practical 6 Contents Page


 

 

© The Royal (Dick) School of Veterinary Studies
The University of Edinburgh,
Easter Bush Veterinary Centre,
ROSLIN, Midlothian, Scotland
, EH25 9RG


Page maintained by T.W.Jones@ed.ac.uk
This page last updated on 08 October 2007