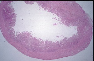
Section of caecum from an acute (~5 day) Eimeria tenella infection

This is low power view of a Giemsa's stained section of chicken caecum at about 5 days after infection with a large number of oocysts. The villar structure has broken down due to extensive cells destruction from cycles of schizogony and merozoite production.
See also

Practical 6 Contents Page


 

 

© The Royal (Dick) School of Veterinary Studies
The University of Edinburgh,
Easter Bush Veterinary Centre,
ROSLIN, Midlothian, Scotland
, EH25 9RG


Page maintained by T.W.Jones@ed.ac.uk
This page last updated on 08 October 2007