RVC WebsiteVetschools Website Help

Smears on Glass Slides

Cat ear with crusting lesions of pemphigus foliaceus
Click to zoom

Cat ear with crusting lesions of pemphigus foliaceus
 

Glass slides form the conventional medium for cytology.

Smear preparation

Smears can be made

  • by direct impression on the lesions
  • from swabs applied to the lesion and then rolled on the slide
  • from a drop of pus or other liquid exudate smeared over the slide as for blood smear preparation
  • from fine needle aspirates or material collected from the lesion with e.g. the tip of a needle or scalpel blade, or the corner of a glass slide

Fixation

DiffQuik has a fixative as the first solution. When other stains are used, fixation is required to stabilise the cells and hold them on the slide. This can be done

  • by heating - suitable for examination of micro-organisms with Gram or Ziehl Neelson stains. Pass the slide over a Bunsen burner flame 2 or 3 times
  • with alcohol. This is good for cytology. Methanol is best. Flood the slide and then drain off after a minute

Staining will normally be done quickly in the clinic with a haematological stain such as DiffQuik after allowing the specimen to air dry.

Close up of blisters on ear in feline pemphigus foliaceus
Click to zoom

Close up of blisters on ear in feline pemphigus foliaceus
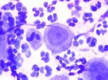
(the image below is from this lesion)
Acanthocytes and neutrophils in an impression smear of blisters in feline
Acanthocytes and neutrophils in an impression smear of blisters in feline
pemphigus foliaceus
 
<<Prev  
Diagnostic Tests
Introduction
Immediate Tests
Microscopy
Coat Brushings
Hair Plucking
Skin Scraping
Tape Stripping
Wood's Lamp
Smears
Staining
Delayed Tests
Culture
Biopsy
Allergy Test
Techniques Quiz
 
Course Map
Introduction
History
Examination
Diagnostic Plan
Skin Lesions
Diagnostic Tests
Therapy in Diagnosis
Summary
 
Resources
Glossary
Clinical Record Form (pdf)
History Algorithm

Examination Algorithm