Periodontal disease chapter
Help Main menu

<<Prev

Supra-bony Pocket

Next>>
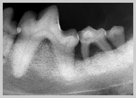
  Supra-bony pocket  

This pocket is common in dogs and cats. The periodontal tissues migrate apically and probing will reveal an increase in depth from the normal anatomical sulcus.

 
     
 

The entire pocket is coronal to the alveolar crestal bone and within soft tissue. Attachment loss will vary in severity but, in most cases, the pocket will be bound by necrotic cementum on the root surface and chronically inflamed gingiva.

 
     
Probe indicates 6-7mm pocket
  Radiograph showing up to 50% bone loss
     
<<Prev

© 2002 eMedia Unit RVC v1.0

Next>>
 

 

 
Printable chapter
(PDF format)