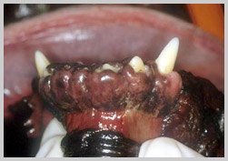
Indications
Gingival hyperplasia and/or shallow suprabony pockets that do not
extend below the muco-gingival line. At least 2mm attached gingiva
should be retained at all times with this procedure.
Contraindications
Infrabony pockets and osseous thickening when attached gingiva
is deficient or absent.
Method
-
Determine pocket depth with probe and create a bleeding point
on the buccal surface.
-
Join bleeding points with no.15 or no.12 blade, electrosurgery
loop on cut/coagulation (fully filtered) mode or a Kirkland
knife.
-
Use a bevelled (obtuse) angle at more than 90º
to the long axis of the tooth to "feather" the gingival
margin. It is important to scallop between the teeth to preserve
the interdental papilla.
-
Perform a light prophylaxis immediately and again two weeks
post surgery.
|
|
To view full-screen video click View ->
Full Screen in the player. Press Escape to end.
If you are having problems viewing the video,
visit our Help
page



|