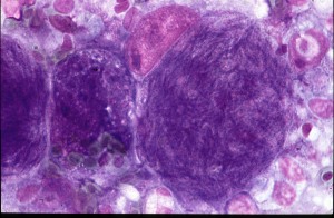
Gut smear from acute Eimeria tenella infection

This is a high power view of a Giemsa's stained smear from the caecal contents of a bird with an acute infection of E.tenella. The large purple stained bodies are enlarged gut cells packed with merozoites - the products of asexual reproduction. In the live bird these merozoites will burst out of the cells and infect other cells. The smaller, pink staining body to the side of the cell is the host cell nucleus.

The other, smaller cells with a clear outside and a central pink-purple dot are host red cells (remember that avian rbcs are nucleated!) resulting from haemorrhage into the gut lumen arising from cell destruction when the merozoites emerge.

Practical 6 Contents Page


 

 

© The Royal (Dick) School of Veterinary Studies
The University of Edinburgh,
Easter Bush Veterinary Centre,
ROSLIN, Midlothian, Scotland
, EH25 9RG


Page maintained by T.W.Jones@ed.ac.uk
This page last updated on 08 October 2007