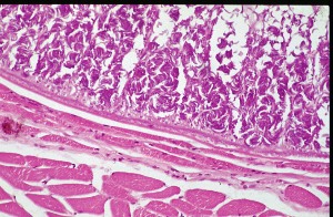
Section of sheep oesophagus infected with Sarcocystis

This is a high power view of a section through a tissue cyst of Sarcocystis. This view shows the outer region of the cyst with groups of bradyzoites arranged around the supporting framework of the cyst.

See also

Practical 5 Contents Page


 

 

© The Royal (Dick) School of Veterinary Studies
The University of Edinburgh,
Easter Bush Veterinary Centre,
ROSLIN, Midlothian, Scotland
, EH25 9RG


Page maintained by T.W.Jones@ed.ac.uk
This page last updated on 08 October 2007